VIE 14 FEB
30°

Internacional

Le encuentran aguja en su cerebro; padres intentaron matarla

Por: Patricia Agüero

11 Octubre 2023, 10:53

Compartir

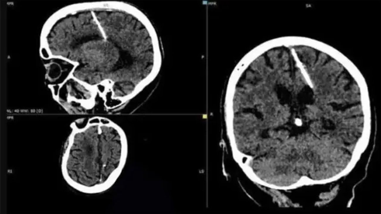
Una mujer de 80 años está siendo noticia después de que médicos rusos le encontraron una aguja de tres centímetros incrustada en el cerebro

Le encuentran aguja en su cerebro; padres intentaron matarla

Una mujer de 80 años se sometió a una tomografía digital y los radiólogos le encontraron una aguja de 3 centímetros clavada en el cerebro.

Los hechos se registraron en la provincia rusa de Sajalín, informó el Ministerio de Salud.

 La aguja fue encontrada en el lóbulo parietal izquierdo del cerebro de la mujer.

De acuerdo con el Ministerio de Salud, la mujer tuvo el objeto incrustado desde su nacimient, aproximadamente en 1940, porque presuntamente sus papás intentaron matarla de recién nacida debido a la hambruna que atravesaba la Unión Soviética en la Segunda Guerra Mundial, pero la niña sobrevivió.

"Estos casos, durante los años de hambruna, no eran infrecuentes: se introducía una aguja fina en la fontanela del bebé, lo que dañaba el cerebro", explicó el ministerio a través de un comunicado.

Y agregó: "La fontanela se cerraba rápidamente, ocultando las huellas del crimen, y el bebé moría".

La mujer nunca se imaginó que tenía un objeto incrustrado en el cráneo porque aseguró que nunca presentó dolores de cabeza.

Los médicos rechazaron extirpar la aguja a la mujer por medio de una intervención quirúrgica para no poner su vida en riesgo, mientras tanto continuará en observación para descartar futuras complicaciones.

Comentarios